Фото: DIMITRI OTIS /DIGITAL VISION
Лікарі показали зміни в мозку людини, яка приймає кокаїн
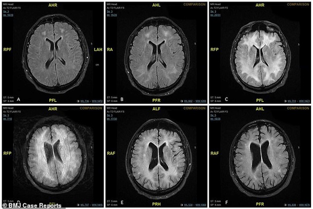
Мозок чоловіка був настільки пошкоджений, що він впав у кому. Шрами на мозку чоловіка залишилися навіть через рік.
Лікарі з мальтійської лікарні шокували Мережу МРТ-знімком пацієнта з кокаїновою залежністю. Про це повідомляє Daily Mail.
У мальтійському місті Мсіда в місцеву лікарню госпіталізували 45-річного чоловіка. Він погано розумів, не міг чітко відповісти на питання, до того ж не йшов назустріч фахівцям.
Лікарі запідозрили інфекцію, але приписане лікування не допомагало. Тоді фахівці зробили чоловікові МРТ і діагностували прогресивну лейкоенцефалопатію. Вона була викликана тривалим прийомом кокаїну. Через кілька днів пацієнт впав у кому через пошкодження мозку.

Лікарі продовжили лікування чоловіка, і весь час робили знімки мозку пацієнта. Повідомляється, що білі плями на фото - це мертві клітини мозку, які змогли відновитися. На корі головного мозку пацієнта залишилися шрами навіть через рік.
Раніше повідомлялося, що китаянка присіла на спір тисячу разів і потрапила в реанімацію. Також стало відомо про те, що "небіжчик" прокинувся і зіпсував могильникам похорон.
Новини від Корреспондент.net в Telegram. Підписуйтесь на наш канал https://t.me/korrespondentnet