Фото: Из открытых источников
Немовля
Таке явище відбувається в середньому один раз на півмільйона вагітностей.
У Гонконгу народилася вагітна двома братами дівчинка, повідомляє Live Science.
Таке явище відбувається в середньому один раз на півмільйона вагітностей. Що стосується причин, то в науковому середовищі немає однєї думки.
Так, Всесвітня організація охорони здоров'я вважає плід всередині новонародженого немовляти тератомою (вид пухлини), однак гонконгські лікарі стверджують, що у їх пацієнтки в організмі знайшлися два плоди близнюків, спочатку здорових, але в ході вагітності поглинених тілом їх сестри.
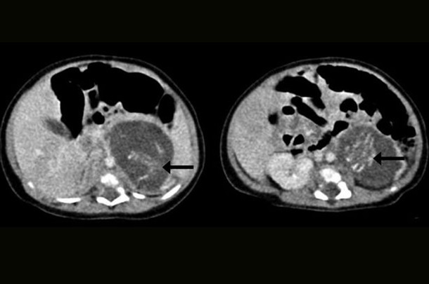
Дівчинку помістили під особливе спостереження гінекологів, так як у неї підозрювали пухлину, а ультразвукове обстеження ще перед пологами вказало на дивне потовщення в черевній порожнині.
У підсумку тритижневої дівчинці зробили операцію: між печінкою і ниркою хірурги виявили два плоди. Один з них важив 9,3 грама, інший - 14,2 грама, що відповідає приблизно восьмий і десятому тижні вагітності. У обох немовлят знайшли пуповину, з'єднану з плацентоподобной масою в животі дівчинки.

Фото: Hong Kong Medical Journal
УЗД плода
Судячи з усього, дівчинка була занадто мала, щоб зачати плід самостійно, тому вона була однією з трійнят. У міру розвитку плоду з незрозумілої причини два невеликих плоду були поглинені тілом третього. На той момент вони ще були здоровими і здатними до розвитку.
За всю історію сучасної медицини було відмічено всього 200 подібних випадків. Як вважає американський гінеколог Дрейон Берч, плід у плоді може бути лише окремим випадком куди більш поширеного явища - «зникаючих близнюків» (розсмоктування плід).
У цих випадках один з близнюків повністю або частково поглинається іншим в ході вагітності (причому мати часто не помічає нічого дивного).
Раніше вчені з'ясували, чим обумовлено успішне зачаття дитини.